|
|
|
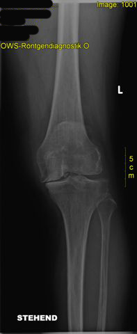
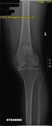
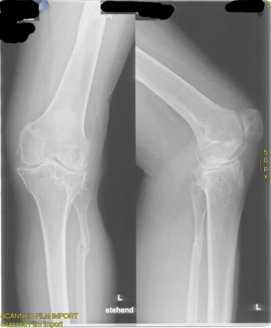
schwere Kniegelenksarthrose, Gelenksspalt innen komplett aufgebraucht
|
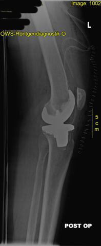
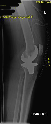
postoperatives Röntgen mit korrektem Sitz der Knieprothese
|
|
|
|
seitliche Ansicht einer Knievollprothese
|
postoperativer Zustand mit liegender zementierter Knieprothese und gerade gestellter Beinachse
|
|
|
|
schwere X-Bein-Fehlstellung und Instabilität bei massiver Kniegelenksarthrose
|
|